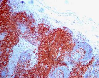
Na řezu mízní uzlinou jsou červeně zbarveny bílé krvinky nesoucí na svém povrchu molekulu CD3. právě proti ní jsou cíleny protilátky, které pomáhají diabetikům ukonejšit jejich „rozvzteklený“ imunitní systém.